考试总分:100分
考试类型:模拟试题
作答时间:90分钟
已答人数:231
试卷答案:没有
试卷介绍: 急诊医学(正副高)考试急诊医学正高模拟试题及答案已经整理好,需要备考的朋友们赶紧来刷题吧!
A增生的细胞在形态、代谢和功能上与机体协调一致
B细胞增殖旺盛
C局部形成肿块
D生长迅速
E细胞不同程度失去分化成熟的能力
A间变型星形细胞瘤
B毛细胞星形细胞瘤
C胶质母细胞瘤
D弥漫性星形细胞瘤
E室管膜下巨细胞星形细胞瘤
A星形细胞
B小胶质细胞
C巨噬细胞
D少突胶质细胞
E淋巴细胞
A血管球瘤
B血管平滑肌瘤
C血管周细胞瘤
D上皮样血管内皮瘤
E毛细血管瘤
A纤维组织细胞瘤
B成人型纤维肉瘤
C神经鞘瘤
D血管平滑肌瘤
E肌成纤维细胞瘤
A脑组织疏松
B细胞和血管周围间隙变大
C脑沟浅而窄
D脑回宽而扁平
E脑室增大
A内皮细胞的屏障作用
B内皮细胞能合成前列环素和一氧化氮
C合成凝血酶调节蛋白
D促进纤维蛋白溶解
E抑制纤维蛋白溶解
AIgA肾病
B轻微病变性肾小球肾炎
C膜性肾小球肾炎
D新月体性肾小球肾炎
E局灶性节段性肾硬化
A结节具有完整的包膜
B结节对周围甲状腺组织无明显压迫现象
C可以形成嗜酸性结节
D滤泡上皮有乳头状增生者可发生癌变
E结节内常常有出血坏死和囊性变
A补体C3a
B补体C5a
C细菌代谢产物
D坏死组织
E阳离子蛋白
A伤后24~48小时
B伤后2~3天
C伤后5~7天
D伤后2周
E伤后1个月
A绒毛膜癌
B部分性葡萄胎
C侵蚀性葡萄胎
D完全性葡萄胎
E胎盘部位滋养细胞肿瘤
A绒毛膜癌
B部分性葡萄胎
C侵蚀性葡萄胎
D完全性葡萄胎
E胎盘部位滋养细胞肿瘤
A绒毛膜癌
B部分性葡萄胎
C侵蚀性葡萄胎
D完全性葡萄胎
E胎盘部位滋养细胞肿瘤
A绒毛膜癌
B部分性葡萄胎
C侵蚀性葡萄胎
D完全性葡萄胎
E胎盘部位滋养细胞肿瘤
A原位癌
B乳头状瘤
C声带息肉
D疣状癌
E高分化鳞状细胞癌
A原位癌
B疣状癌
C乳头状瘤复发
D高分化鳞状细胞癌
E低分化鳞状细胞癌
A声门上型
B声门型
C糜烂型
D声门下型
E跨声门型


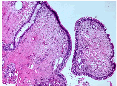
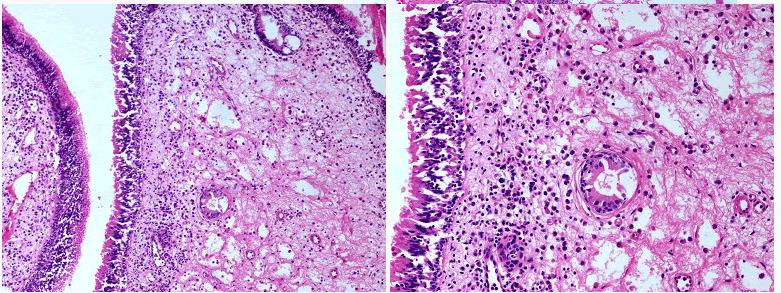
A鼻腔恶性肿瘤
B鼻咽纤维血管瘤
C鼻息肉
D鼻腔内翻性乳头状瘤
E脑膜-脑膨出
A增生的组织表面被覆假复层纤毛柱状上皮,可鳞化
B部分上皮可出现重度异型
C有时可见多量嗜酸性粒细胞浸润
D间质中数量不等的慢性炎细胞浸润
E间质中肉芽组织增生,淤血,水肿